CASE20250608_001
When Old Stent Meets New Calcium
By Hing Yin Wilson Lam
Presenter
Hing Yin Wilson Lam
Authors
Hing Yin Wilson Lam1
Affiliation
Yan Chai Hospital, Hong Kong, China1
View Study Report
CASE20250608_001
Complex PCI - In-Stent Restenosis
When Old Stent Meets New Calcium
Hing Yin Wilson Lam1
Yan Chai Hospital, Hong Kong, China1
Clinical Information
Relevant Clinical History and Physical Exam
A 78-year-old woman with hypertension, hyperlipidemia, and a history of PCI to the right coronary artery with bare-metal stent placement in 2001 presented with a one-month history of stable angina. She underwent CT coronary angiography, which demonstrated moderate to severe in-stent restenosis in the RCA. She was admitted electively for coronary angiography and possible PCI. Physical examination was unremarkable, with no murmurs or signs of heart failure.




Relevant Test Results Prior to Catheterization
Laboratory investigations, including complete blood counts and liver and renal function tests, were within normal limits. Fasting glucose was 5.2 mmol/L, and LDL-C was 1.6 mmol/L.
Relevant Catheterization Findings
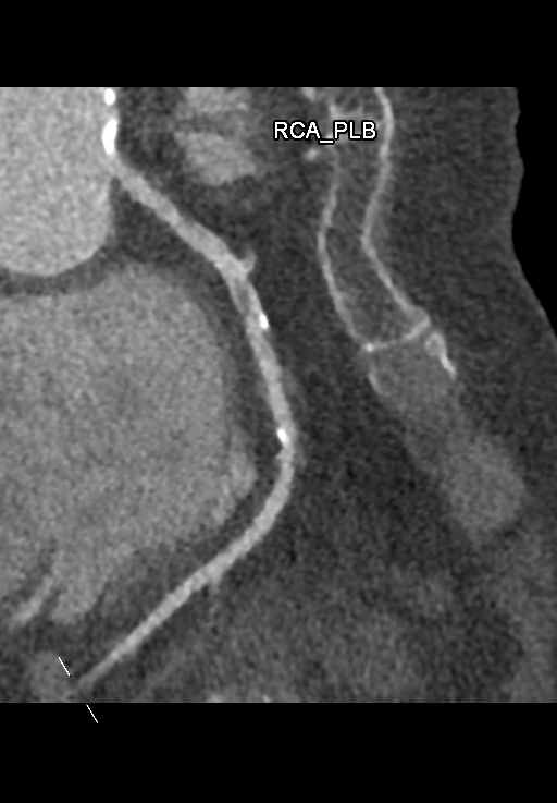
Dominance: Right Left Main: No significant stenosis LAD: Mild distal disease LCx: Minor disease RCA: 80% in-stent restenosis at proximal segment; 80% calcified de novo stenosis at mid to distal RCA
COMPLEXPCI-1.mp4
COMPLEXPCI-2.mp4
Interventional Management
Procedural Step
The diagnostic angiogram confirmed significant ISR at the proximal RCA stent, with severe calcification, and a de novo significant stenosis in the mid-distal RCA. The procedure was performed via the right radial artery approach. Initial attempts to engage the RCA with a 6Fr Ikari Left 3.5 guide were unsuccessful. Switching to a 6Fr Judkins Right 4 guide provided suboptimal support, necessitating the use of a Guidezilla II guide extension catheter. The posterior descending artery (PDA) was wired with a Sion Blue wire. Intravascular ultrasound (IVUS) confirmed severe calcification within the ISR segment. Predilatation of the distal RCA lesion and proximal RCA ISR with an Aperta NSE 3.0/13 balloon resulted in poor balloon expansion. Intravascular lithotripsy (IVL) was performed using a 3.0/12Shockwave balloon, delivering 100 cycles to both lesions. Post-IVL IVUS demonstrated adequate lesion preparation. The distal RCA lesion was stented with an Ultimaster Nagomi 3.0/28 mm DES, followed by post-dilation with a non-compliant 3.25/15 mm balloon.The proximal RCA ISR was treated with an Ultimaster Nagomi 3.5/33 mm DES, post-dilated with a non-compliant 3.5/15 mm balloon up to 22atm. Final IVUS confirmed good stent expansion and apposition, with no edge dissection. The final angiogram demonstrated a satisfactory result with TIMI 3 flow.
COMPLEXPCI-1wire.mp4
COMPLEXPCI-2IVUS.mp4
COMPLEXPCI-3stent.mp4
Case Summary
This case illustrates the complex challenges associated with treating severe calcified in-stent restenosis in a long-standing bare-metal stent. The successful use of intravascular lithotripsy, supported by intravascular imaging, enabled effective lesion modification and optimal drug-eluting stent deployment. Contemporary interventional tools and imaging are essential for achieving safe and durable outcomes in complex coronary interventions.
