CASE20250703_001
Simplified Jailed Balloon Technique Without Rewiring to Side Branches: A Novel Approach for Bifurcation Lesions
By Minori Abiru, Kenji Sadamatsu
Presenter
Minori Abiru
Authors
Minori Abiru1, Kenji Sadamatsu1
Affiliation
Omuta City Hospital, Japan1
View Study Report
CASE20250703_001
Complex PCI - Bifurcation
Simplified Jailed Balloon Technique Without Rewiring to Side Branches: A Novel Approach for Bifurcation Lesions
Minori Abiru1, Kenji Sadamatsu1
Omuta City Hospital, Japan1
Clinical Information
Relevant Clinical History and Physical Exam
A 72-year-old male was referred to our department because of shortness of breath on effort. His heart sound and breath sound were normal. His electrocardiogram, chest roentgenogram, and echocardiogram showed nothing particular.






Relevant Test Results Prior to Catheterization
The cardiac CT demonstrated stenotic lesions in the left anterior descending artery and circumflex artery (Fig 1).
Relevant Catheterization Findings
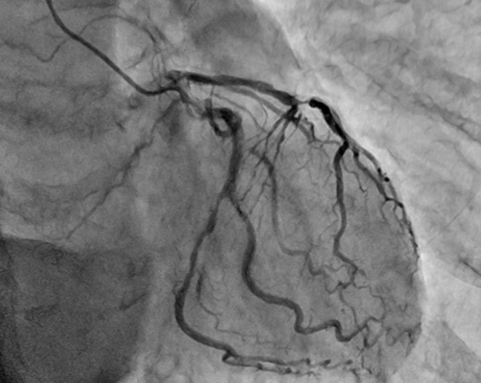
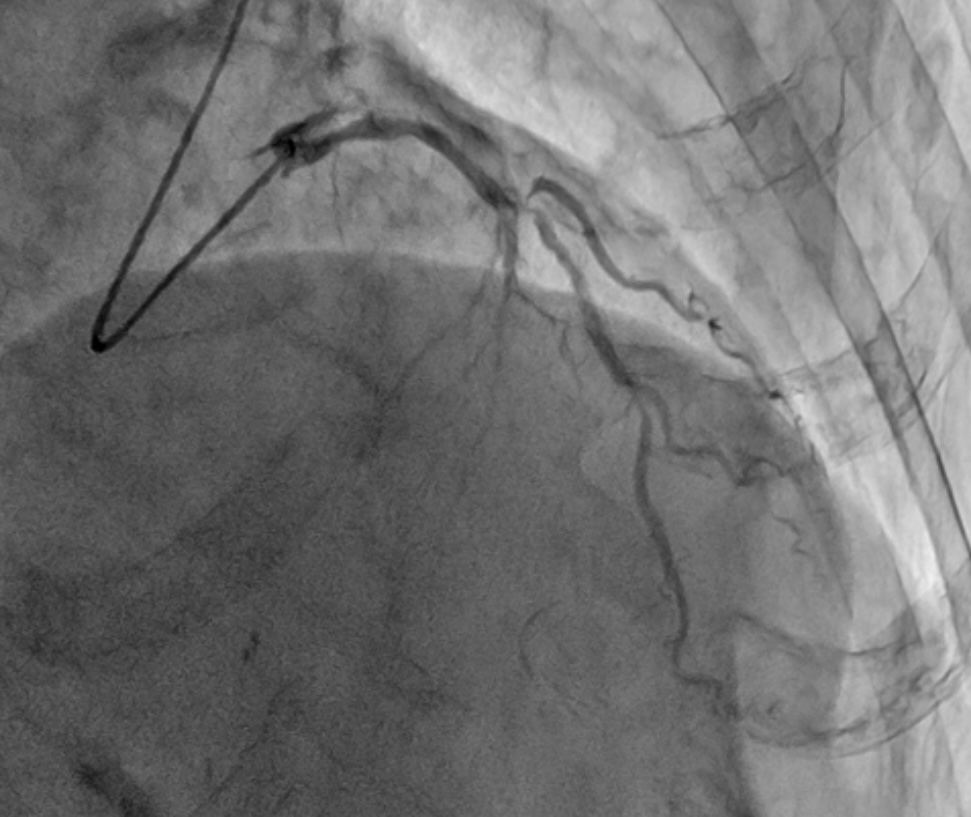
Coronary angiography revealed tandem lesions in the left anterior descending artery and a severe stenosis in the circumflex artery. The proximal left anterior descending artery was a severe bifurcation lesion (Fig 2 and 3).
Interventional Management
Procedural Step
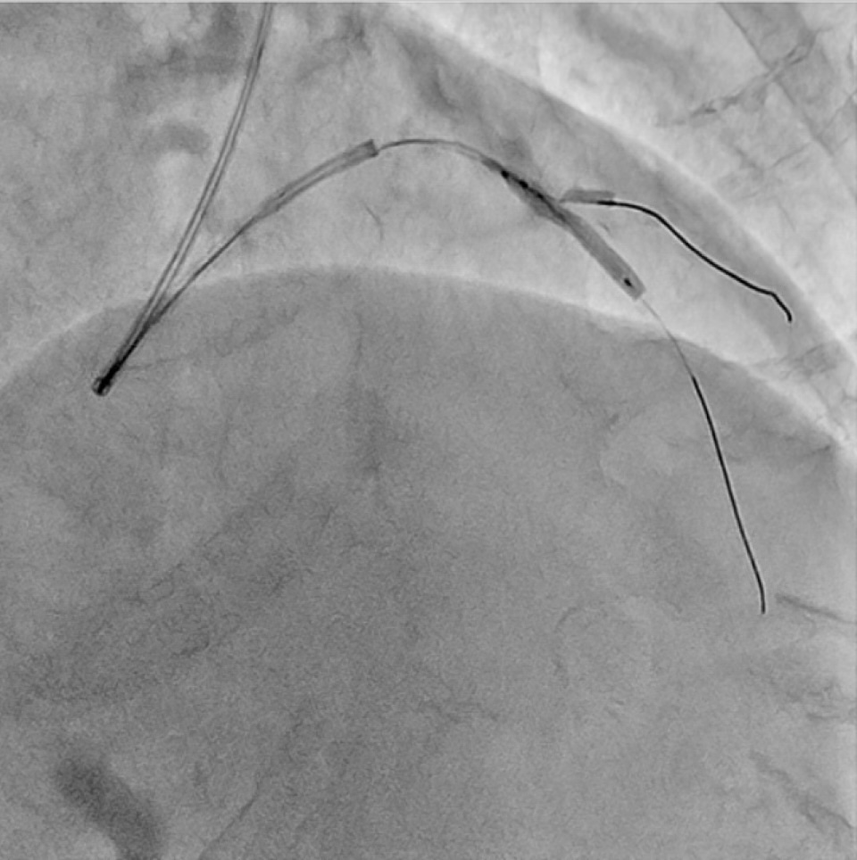
We engaged a Judkins Left 4.0 6Fr guiding catheter via the left distal radial approach. Guidewires were inserted into the left anterior descending artery and diagonal branch. Tandem lesions of the LAD were inflated with a 2.25 mm scoring balloon.Then, we deployed a 2.5x16 mm drug-eluting stent using our simplified jailed balloon technique (Fig 4). This approach, without rewiring to side branches, offers key advantages.



- A 2.0 mm semi-compliant balloon was placed at the diagonal branch ostium.
- The DES was positioned in the bifurcation lesion.
- The 2.0 mm balloon was inflated at 6 atm.
- The stent balloon was inflated twice (Fig 5).
- The diagonal balloon was deflated and retrieved.
This eliminates rewiring, significantly reducing procedural complexity, shortening average procedure time to 27 minutes, and lowering complication risks like side branch injury.
- The stent balloon was inflated once more.
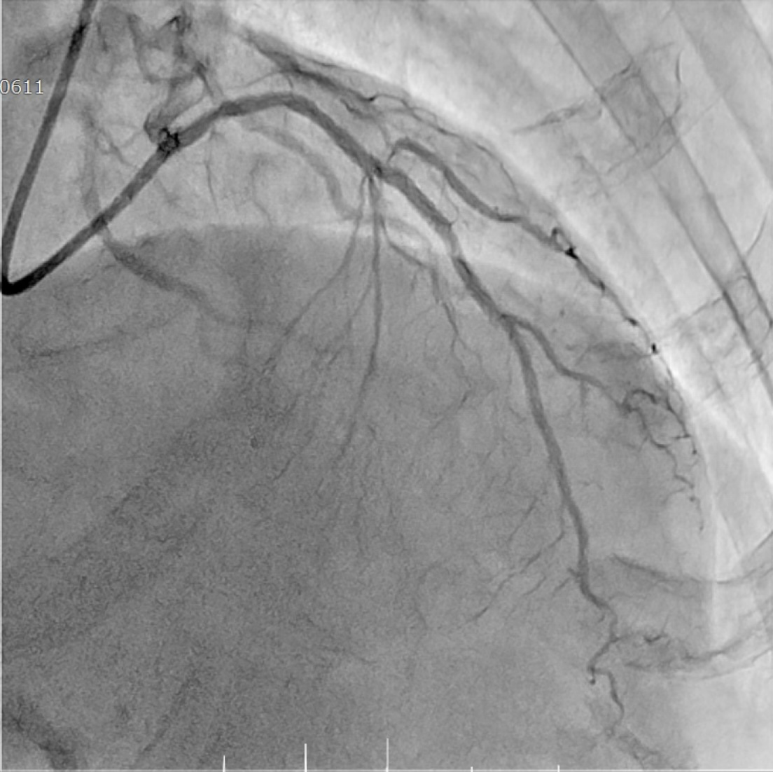
The outcome was satisfactory (Fig 6). This simplified technique achieved 100% procedural success with 94% side branch patency. It offers a practical solution, maintaining excellent clinical outcomes while simplifying bifurcation interventions.



Case Summary
The simplified jailed balloon technique without rewiring demonstrates excellent feasibility and efficacy for bifurcation PCI. This novel approach achieved 100% procedural success with 94% side branch patency. By eliminating the need for rewiring, it significantly reduces procedural complexity and time, averaging just 27 minutes . This method maintains excellent clinical outcomes, offering a practical, simplified solution for routine bifurcation interventions . It aligns perfectly with the "MAKE IT SIMPLE!" theme of COMPLEX PCI 2025, providing a safer and more efficient strategy for challenging lesions .
