CASE20250801_002
When ACS Isn¡¯t ACS: A Case That Questioned the Cath Lab First Approach
By Apichart Setthajit, Chatchai Pitakrattanachai, Wittawat Wattanasiriporn
Presenter
Apichart Setthajit
Authors
Apichart Setthajit1, Chatchai Pitakrattanachai1, Wittawat Wattanasiriporn1
Affiliation
Rajavithi Hospital, Thailand1
View Study Report
CASE20250801_002
ACS/AMI - ACS/AMI
When ACS Isn¡¯t ACS: A Case That Questioned the Cath Lab First Approach
Apichart Setthajit1, Chatchai Pitakrattanachai1, Wittawat Wattanasiriporn1
Rajavithi Hospital, Thailand1
Clinical Information
Relevant Clinical History and Physical Exam
A 69 year-old Thai woman presented with chronic dyspnea and orthopnea for 1 week. she was stable vital signs. Cardiovascular examinations are unremarkable, Pulmonary examinations revealed tachypnea and fine crepitation of bilateral lower lung fields. ECG showed sinus rhythm 110 bpm with ST depression in leads I, II, aVL and V4-V6, with CXR showed cardiomegaly with bilateral pulmonary congestion. Troponin I was highly elevated result as 2261.9 ng/L. Acute NSTE-ACS with heart failure was diagnosed.




Relevant Test Results Prior to Catheterization
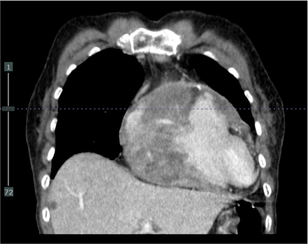
Echocardiogram accidentally found large anterior heterogeneous mass sized about 5x7 cm. This mass adjacent to right atrium (RA), right ventricle (RV) and tricuspid annulus causing mild to moderate tricuspid regurgitation (TR), no pericardial effusion. Chest CT was requested, reporting irregular-shaped heterogeneous anterior mediastinal mass sized 6.7x9x4.7 cm involving tricuspid valve, anterior wall of RA and RV. Right coronary artery (RCA) also passed through this mass.
A4C 1.avi
CT Axial Cardiac mass.mp4
Relevant Catheterization Findings
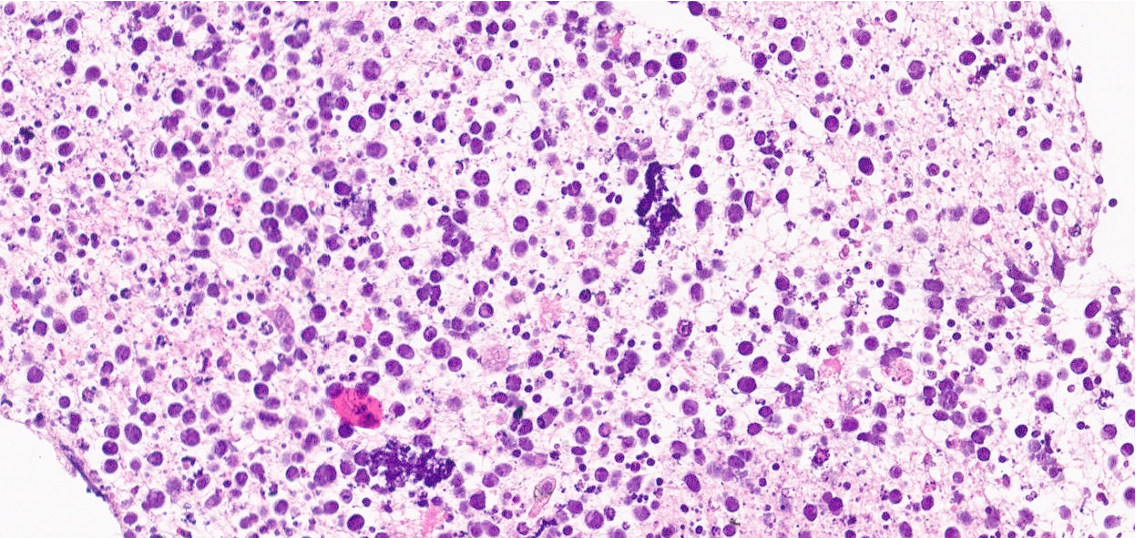
This mass was suspected to be malignancy then bronchoscopy with lymph node biopsy and bone marrow biopsy were done. Lymph node tissue histopathology reported suggestive of diffused large B-cell lymphoma. Bone marrow tissue histopathology reported hypercellularity involved by high-graded mature B-cell lymphoma leading to diagnosis of Non-Hogkin's lymphoma stage IV and promptly CHOP regimen chemotherapy treatment.




Interventional Management
Procedural Step
This mass was suspected to be malignancy then bronchoscopy with lymph node biopsy and bone marrow biopsy were done. Bronchoscopy with mediastinal lymph node biopsy were done. Lymph node tissue histopathology reported malignant small round cell tumor with positive for CD20, CD45, BCL-6 and C-MYC immunohistochemistry, suggestive of diffused large B-cell lymphoma. Finally, bone marrow tissue biopsy was done and histopathology reported hypercellularity involved by high-graded mature B-cell lymphoma leading to diagnosis of Non-Hogkin's lymphoma stage IV and promptly CHOP regimen chemotherapy treatment
A4C 1.avi




Case Summary
This paper reported a rare challenging case presentation of acute NSTE-ACS with congestive heart failure which may confuse diagnosis of atherosclerotic heart disease as main underlying condition which may needed for urgently coronary angiography and intervention in general circumstance. But with carefully investigation, echocardiogram finding revealed an large anterior mediastinal mass which invading myocardium and coronary artery and leading to diagnosis of B-cell lymphoma.
