CASE20250821_001
Retrograde Recanalization of Chronic Occlusion of the Right Coronary Artery
By Alexandr Shlykov, Aleksei Sozykin, Pavel Emelyanov, Lyudmila Ulyanova, Chingis Delikov, Nataliya Novikova, Igor Lozovskii
Presenter
Alexandr Shlykov
Authors
Alexandr Shlykov1, Aleksei Sozykin1, Pavel Emelyanov1, Lyudmila Ulyanova1, Chingis Delikov1, Nataliya Novikova2, Igor Lozovskii1
Affiliation
Petrovsky National Research Center of Surgery; Petrovsky NRCS, Russian Federation1, Scientific and Clinical Center No. 2 of the Federal State Budgetary Scientific Institution Russian S, Russian Federation2
View Study Report
CASE20250821_001
Complex PCI - CTO
Retrograde Recanalization of Chronic Occlusion of the Right Coronary Artery
Alexandr Shlykov1, Aleksei Sozykin1, Pavel Emelyanov1, Lyudmila Ulyanova1, Chingis Delikov1, Nataliya Novikova2, Igor Lozovskii1
Petrovsky National Research Center of Surgery; Petrovsky NRCS, Russian Federation1, Scientific and Clinical Center No. 2 of the Federal State Budgetary Scientific Institution Russian S, Russian Federation2
Clinical Information
Relevant Clinical History and Physical Exam
Man, age 48. Coronary artery disease. Class 2 angina. MI 20.08.2017. Essential hipertension 1 degrees. Hypercholesterolemia. GFR(creatinine clearance 44 ml/mil/1,73 m2). Echocardiography - the chambers of the heart are not dilated. global LV systolic function is not affected by EF - 58%. The zone of presence of c ontractility was not identified.




Relevant Test Results Prior to Catheterization
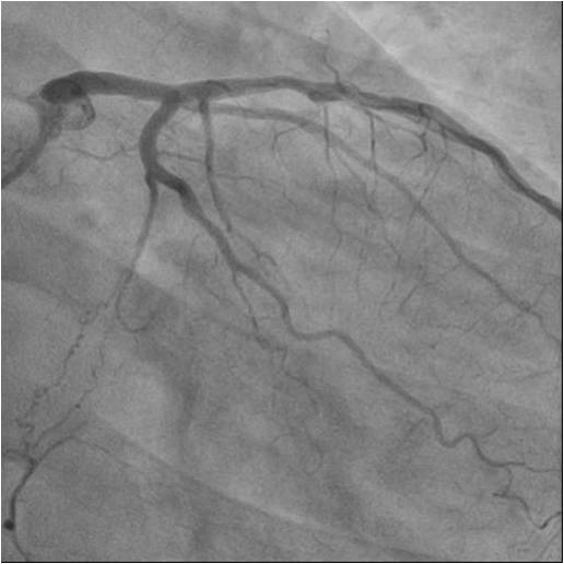
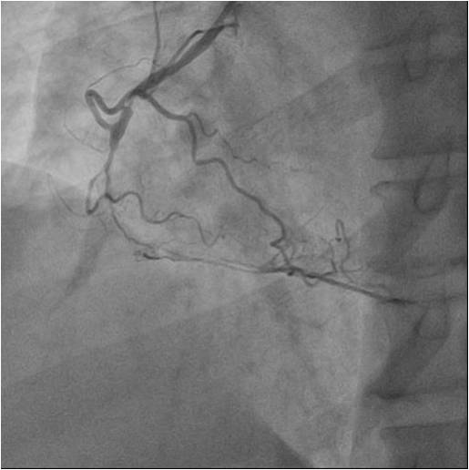
Relevant Catheterization Findings
Interventional Management
Procedural Step
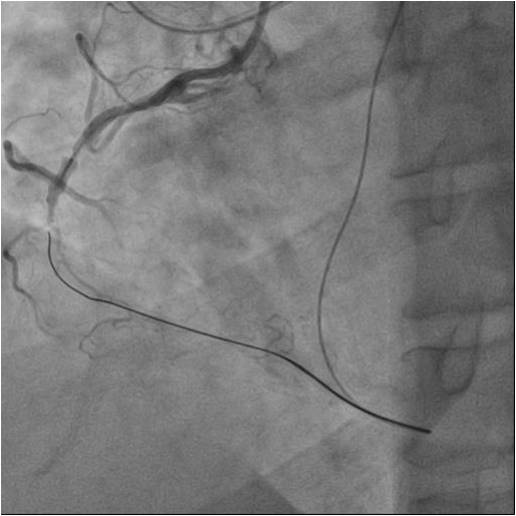
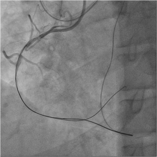
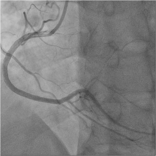
Numerousattempts of antegraderecanalization using guidewires of different stiffnesswere unsuccessful. Pts ofretrograde recanalization using guidewires of different stiffnesswereunsuccessful. Another attempt at antegraderecanalization led to dissection dista RCA. Retrograde recanalization was performed using the technique of «kissing-wire». retrograde guidewire was inserted into theproximal segment of the RCA. Guidewire was externalized into the guide catheterusing Reverse CART technique. The tip-in technique was used for the Corsairantegrade microcatheter over the retrograde wire. Tthe microcatheterwassuccessfully inserted into the distal segment of the RCA. A soft antegradeguidewire was placed. A balloon catheter 2.0x30 mm was used for predilation inthe proximal middle and distal segments of the RCA at 14 atm. Consecutive DES2.75x44mm, DES 2.75x44mm, DES 3.5x39 mm stents were implanted in the distal,middle and proximal segments of the RCA, at pressures up to 16 atm.






Case Summary
Contralateral imaging is mandatory in the absence of intrasystemic collaterals. The availability of instruments and the ability of the team to use retrograde recanalization techniques, is an important prerequisite, for the interventional laboratory. Bilateral transradial access 6 Fr, in most cases allows to carry out retrograde recanalization of CA comfortably.
