CASE20250821_005
PCI of the Left Main After TAVI
By Alexey Sozykin, Emelyanov Pavel, Shlykov Alexandr , Ul'yanova Lyudmila , Chingiz Delikov, Novikova Nataliya , Lozovskij Igor
Presenter
Chingiz Delikov
Authors
Alexey Sozykin1, Emelyanov Pavel1, Shlykov Alexandr 1, Ul'yanova Lyudmila 1, Chingiz Delikov2, Novikova Nataliya 1, Lozovskij Igor 1
Affiliation
Petrovsky National Research Center of Surgery, Russian Federation1, Scientific Clinical Center 2 Petrovsky National Research Center of Surgery NRCS, Russian Federation2
View Study Report
CASE20250821_005
Complication Management - Complication Management
PCI of the Left Main After TAVI
Alexey Sozykin1, Emelyanov Pavel1, Shlykov Alexandr 1, Ul'yanova Lyudmila 1, Chingiz Delikov2, Novikova Nataliya 1, Lozovskij Igor 1
Petrovsky National Research Center of Surgery, Russian Federation1, Scientific Clinical Center 2 Petrovsky National Research Center of Surgery NRCS, Russian Federation2
Clinical Information
Relevant Clinical History and Physical Exam
Admitted with diagnosis: IHD: Angina pectoris 3 FC. Acquired heart disease: Severe degenerative aortic stenosis. Cardiac conduction disorder: Transient AV block 3 st. Complaints: severe shortness of breath, weakness, dizziness. Anamnesis: significant deterioration over the past year in the form of decreased tolerance to physical activity






Relevant Test Results Prior to Catheterization
Relevant Catheterization Findings
Interventional Management
Procedural Step
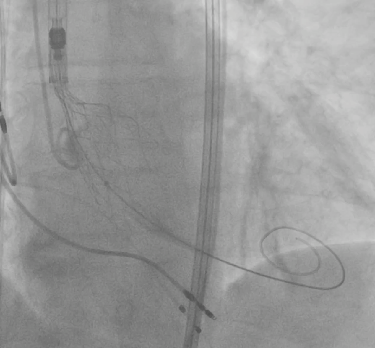
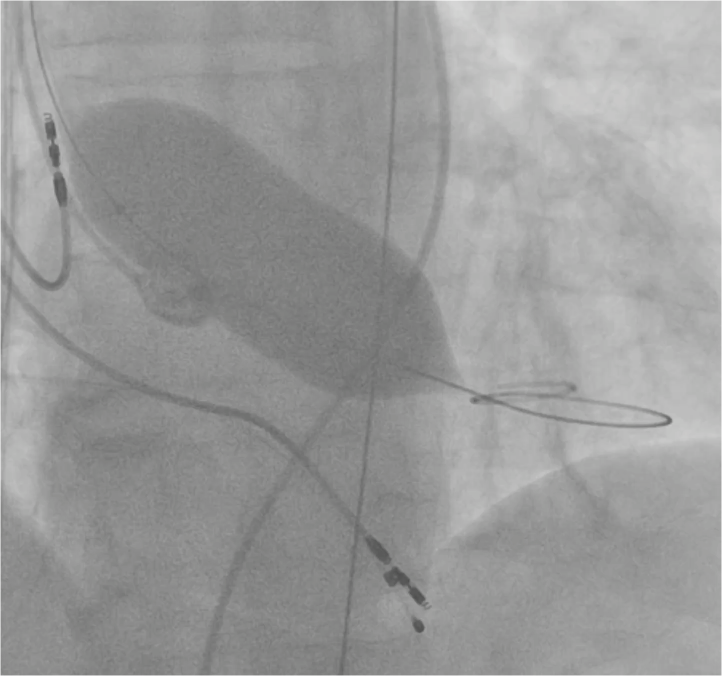
A super-rigid guidewire was inserted into the left ventricular cavity, and a valvulotomy was performed using a 23x40mm balloon catheter. After this, a successful implantation of a Portico 29mm aortic prosthesis was performed. During suturing of the access site, the patient developed persistent hypotension and bradycardia. A decision was made to perform catheterization of the left coronary artery trunk. During the angiogram, compression of the left coronary artery trunk by a hematoma in the projection of the fibrous ring was revealed. A decision was made to perform stenting of the left coronary artery trunk. The stent was successfully implanted in the left coronary artery trunk. Hemodynamics were restored. The patient was discharged on the 4th day after TAVI. A control MSCT was performed several months later.






Case Summary
It is important to assess the patency of the coronary arteries after transcatheter implantation of the aortic valve in several projections, especially when the interpretation of the pacemaker is difficult due to the imposed rhythm of the pacemaker.
